Free Teeth Whitening Pen

Complimentary Teeth Whitening Pen with your next routine dental visit. Limited time offer!

thin porcelain veneers

Porcelain Veneers in NYC

Porcelain Veneers are a great way to correct imperfect teeth. They’re very thin, tooth-colored shells that are custom crafted and bonded to the front of teeth to give you a bright, white, even and attractive smile.

Commonly made of porcelain, veneers make it possible to correct a variety of color and shape problems. Veneers can:

  • Reduce or eliminate spaces between the teeth (diastemas)
  • Repair broken or chipped teeth
  • Whiten dark teeth, yellow teeth, permanently stained teeth or otherwise discolored teeth
  • Correct misshapen or crooked teeth
  • Close small holes or pits in teeth
  • Improve the appearance of teeth that are too small, too big, or uneven.
  • Restore an uneven smile.

Porcelain veneers are ultra-thin shells of ceramic material, which are bonded to the front of teeth. This procedure requires little or no anesthesia, and can be the ideal choice for improving the appearance of the front teeth.

Porcelain veneers are placed to mask discolorations, to brighten teeth, and to improve a smile. Highly resistant to permanent staining from coffee, tea, or even cigarette smoking, the wafer-thin porcelain veneers can achieve a tenacious bond to the tooth, resulting in an esthetically pleasing naturalness that is unsurpassed by other restorative options.

What Are Porcelain Veneers?

porcelain veneers
Porcelain veneers to close tooth gaps
Closing tooth gaps with four porcelain Veneers

What Problems Can Porcelain Veneers Solve?

When you’re looking to correct imperfect teeth Porcelain veneers offer an immediate cosmetic solution to common dental problems, including:

  • Veneers can Close Gaps and unnecessary spaces between teeth.
  • Replace discolored bonding
  • Crooked or uneven smiles
  • irregular shape or contours of teeth
  • Fix Cracked or Discolored teeth
  • Repair chipped teeth
  • Restore severely broken down teeth
  • Improve the appearance of gummy smiles.

What are the Benefits of Porcelain Veneers?

Porcelain veneers are an excellent alternative to crowns in many situations. They provide a much conservative approach to changing a tooth’s color, size, or shape.

Porcelain veneers can mask undesirable defects, such as teeth stained by tetracycline, by an injury, or as a result of a root-canal procedure, and are ideal for masking discolored fillings in front teeth.

Patients with gaps between their front teeth or teeth that are chipped or worn may consider porcelain veneers. Generally, veneers will last for many years, and the technique has shown remarkable longevity.

Should Veneers be considered for a smile makeover?

Porcelain veneers are commonly used for a smile makeover by dentists all over the world.  The beauty and durability of porcelain veneers makes them ideal for a smile makeover.  There’s a reason most of your favorite celebrities have invested in a smile makeover with porcelain veneers.  The look, strength and feel of porcelain veneers makes them the ideal material for many patients looking to enhance their smiles.

Schedule Your Appointment Today

Looking to Make a Powerful First Impression?

A beautiful smile can improve self-esteem and other aspects of your life as well. The confidence that comes with looking and feeling more attractive. You only get one shot to make a powerful first impression. Increase confidence for job interviews, when meeting new clients and at social gatherings. Many of our patients even get married after getting their veneers (not a guarantee!:)

What’s the Process for Getting Porcelain Veneers?

First step is to schedule your consultation with Smile Arts of NY to find out if you’re a good candidate. Our highly trained team will help you determine how many veneers are needed for your particular situation.

At Smile Arts of New York we’re excited about improving smiles, we believe that it also changes lives. Dr. Peter Mann has extensive training in all phases of General Dentistry, but improving patient’s smiles is one of the most rewarding parts of this profession.

For the next visit, a small amount of enamel will be removed from the teeth to make room for the ultra thin veneers. We remove about 0.5mm to 1.0mm of enamel to prevent the veneers from looking too bulky. Once impressions are taken, they’re sent to our Master Ceramist to work in his dental lab on creating the perfect looking veneers. In the mean time you’ll leave the office wearing temporary veneers.

For the final appointment the temporary veneers will be removed. We’ll try on the brand new porcelain veneers to check the fit. Once, you approve the esthetics, we’ll bond the veneers onto your teeth. You’ll have the beautiful new smile to enjoy for many years to come.

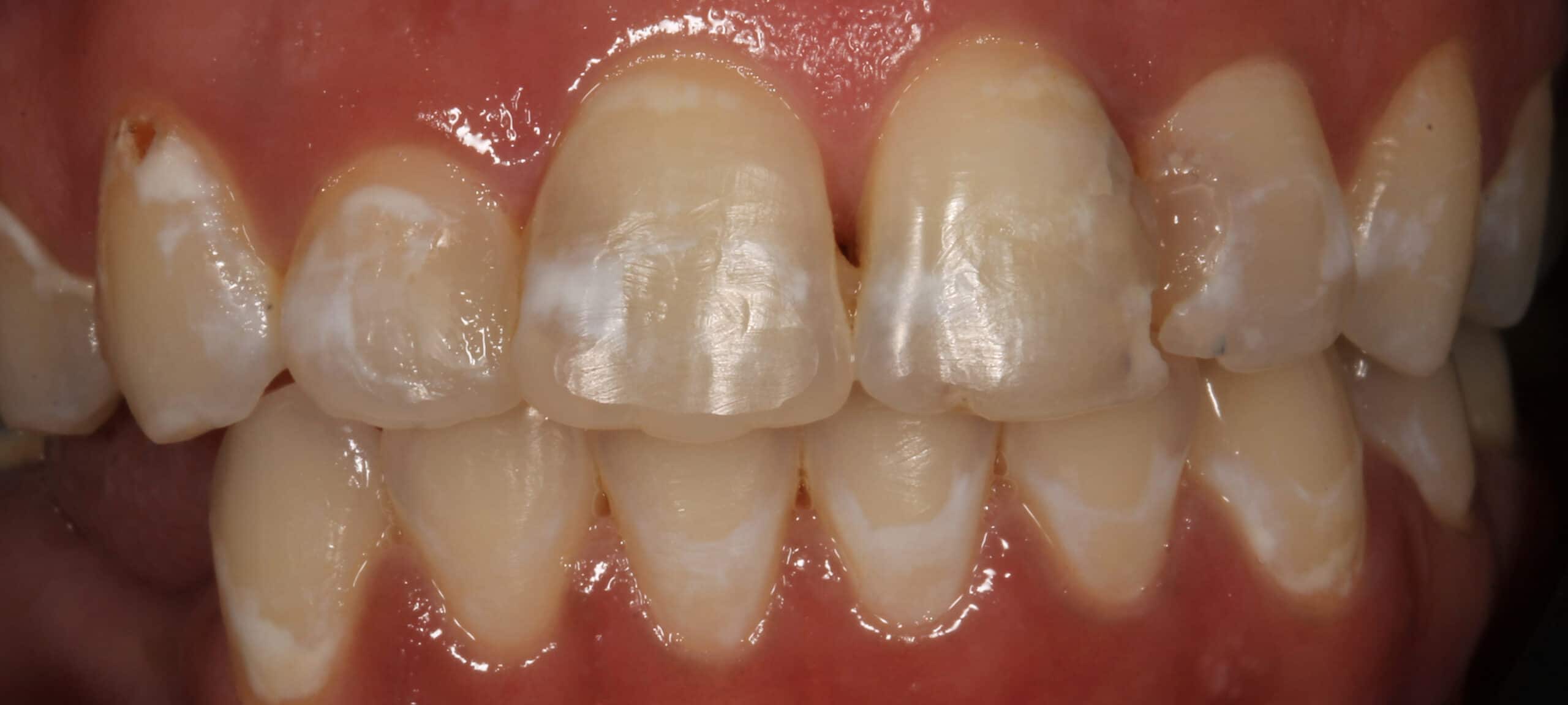
Porcelain Veneers repairing broken teeth
Porcelain veneers used to repair broken/worn down teeth
broken teeth repaired with vneers
broken upper teeth repaired with veneers
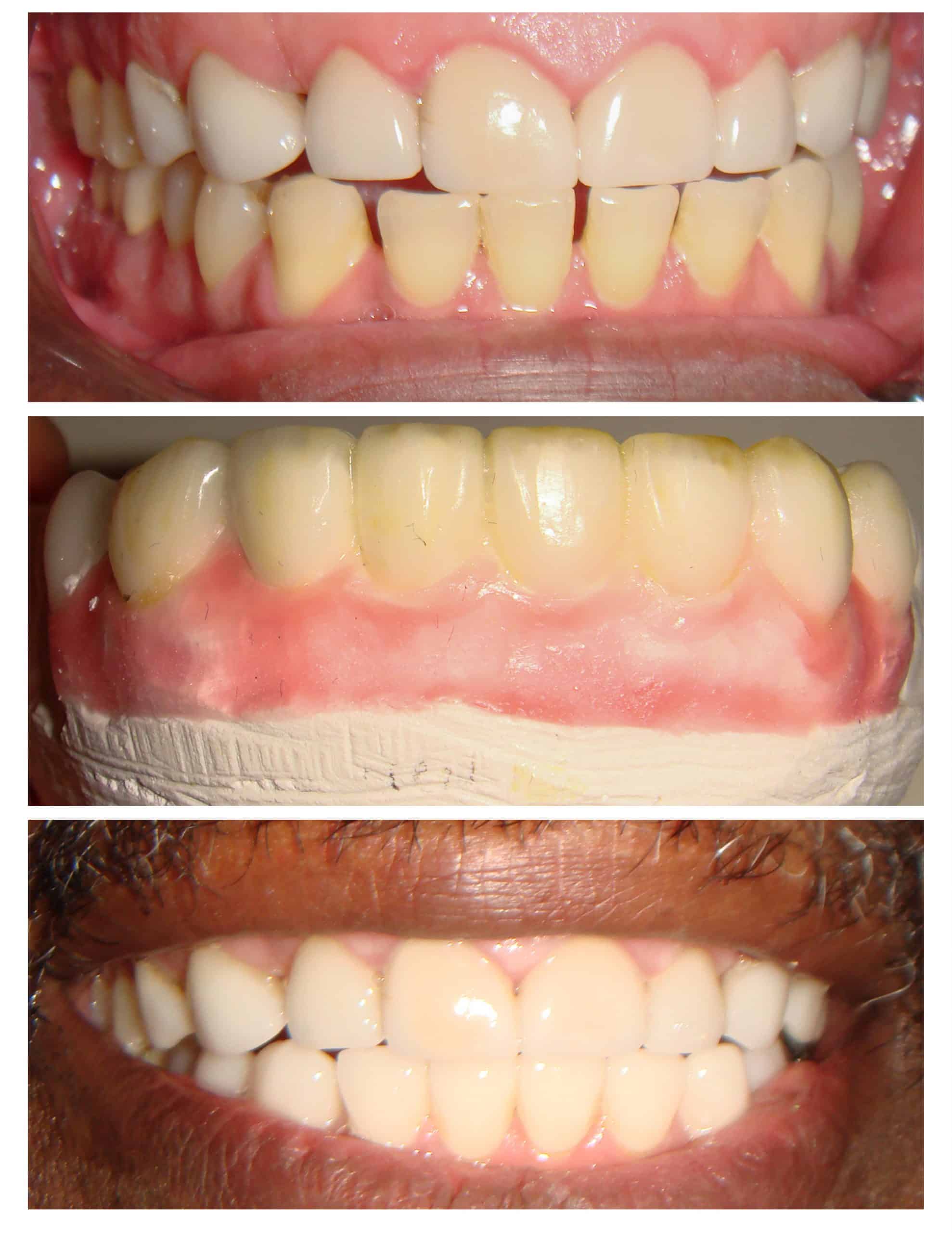
Before Veneers
Before Veneers
After Veneers
After Veneers
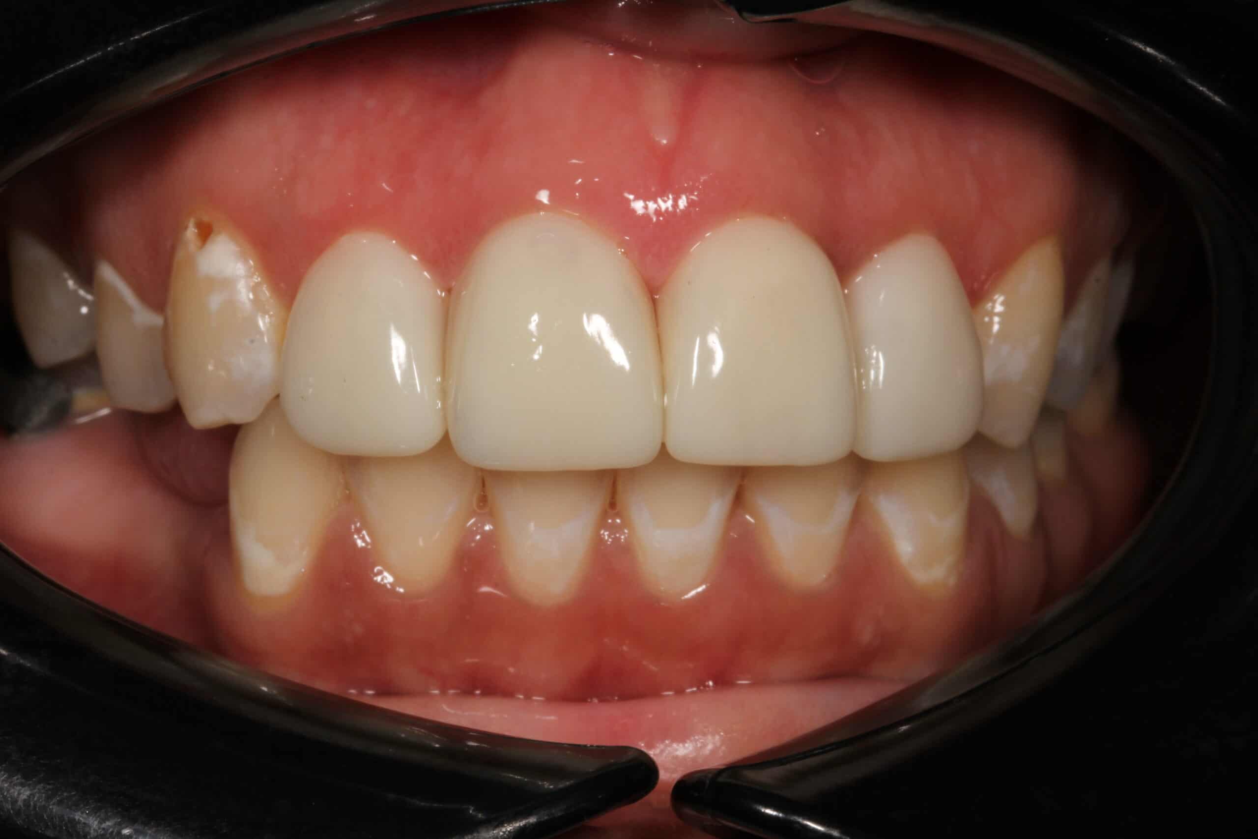
thin porcelain veneers
thin porcelain veneers

Benefits of Porcelain Veneers

It’s common for our patients to get veneers they always dreamed of before a big event such as a wedding, or a party with family or friends.

A smile is the first thing people notice about you, it’s the most important accessory one wears. If you’ve been shy about your smile, porcelain veneers may be the right solution.

Maintaining Your Porcelain Veneers

Veneers are in general easy to maintain, not much different from your natural teeth. You’ll want to be a little more gentle with your veneers to extend their lifespan. If you’re a bruxer, grinder, or a clencher make sure to wear a good night guard every night. We recommend a custom night guard to protect your investment.

Good dental hygiene is also very important to have your porcelain veneers last. Brush only using a soft toothbrush, electric toothbrushes such as Philips Sonic care or Oral-B are fine too.

Be sure to floss before bed time and be sure to gently guide the floss under the gum to clean out any food particles. Continue your bi-annual dental visit for routine dental cleanings and exams.

Your dental professional will monitor the health of your veneers, teeth, and gums. You’ll probably hear some useful tips to help maintain your oral health for a lifetime.

Are Porcelain Veneers Durable?

Veneers are made with high quality porcelain, to be thin for a natural appearance. Veneers are able to withstand the same biting and chewing forces that teeth endure daily.  Once the porcelain Veneer is bonded to the tooth it’s able to withstand normal biting and chewing pressures.  Patients are able to achieve optimal cosmetic outcomes with porcelain veneers.   For added protection we recommend for patients who may grind or clench their teeth at night to wear a night guard while sleeping.

How Long Do Porcelain Veneers Last?

The average life span of a porcelain veneer varies between 10 to 20 years.  There are many factors that influence the longevity of your veneers.  Main factors for having your veneers last are good oral hygiene, flossing daily, brushing twice a day, visiting your dentist twice a year to check on your veneers, wearing a night guard nightly,  trying not to bite things that are too hard such as nuts and hard candy.

What if my Porcelain Veneer Breaks?

Although not a very common occurrence, it is possible for a porcelain veneer to fracture or fall off.  This dental emergency requires a dentist to either re-bond the veneer or fabricate a new one.  Our office offers an industry leading 5 year warranty on our dental work.  We stand behind our work 100% and will gladly replace the veneer at no cost to the patient if the veneer happens to break.

What's the Cost of Porcelain Veneers in NYC?

The cost of porcelain veneers in New York City varies greatly depending on the dentist.  In NYC veneers can cost from $1,750-$3,500 per tooth.  In our office, a skilled cosmetic dentist will charge a fair fee of   $1,750 – $2,000 per tooth depending on the complexity of the case.  For the best looks and longevity of your veneers its important for the dentist to use high quality porcelain and a skilled dental laboratory technician. 

Does Dental Insurance cover Porcelain Veneers?

At Smile Arts of NY, we work with all dental PPO insurance plans to maximize your insurance benefits and minimize out of pocket expenses.  Many insurances will cover up to 50% for the cost of veneers.  Our insurance experts will check your insurance benefits and inform you of your discounted rate.

Best Dental Office for Porcelain Veneers in NYC

Dentistry is an art and a science.  When it comes to a smile makeover with porcelain veneers, you want to be sure that your dentist, and the master lab technician share your vision for a beautiful smile.   It takes decades of experience and training to become masterful in creating healthy and beautiful smiles.  Our cosmetic dentists never stop learning, they’re constantly taking continuing education courses to hone their skills.  

Our New York City dentists will carefully examine your teeth and bite to determine if veneers are right for you.  In certain cases orthodontic treatment with Invisalign maybe recommended first to align your teeth before correcting imperfections with Veneers.

Our Patients' Reviews on Porcelain Veneers

best dentist ManhattanI have been trusting Dr. Mann with my teeth, since Invisalign to veneers to the occasional root canal and regular bi-annual cleaning. And my teeth look amazing! Smile Arts of NY team are excellent at what they do! They will take care of you (and your teeth, of course)!  — Gina P. on Facebook

best dentist ManhattanDr. Chen was professional and thorough. She replaced my veneer, diagnosed my grinding habit and fabricated a night guard for me to protect my other teeth. She took the time to explain everything. I would highly recommend her!  — Anna on Zocdoc

best dentist ManhattanNew office is gorgeous but the professionalism, modern care and expertise is what keeps me coming back. Dr Mann is a true expert and his hygienists have such great bedside manner and care. Attention to detail on cleanings and advanced services (veneer in my case), is the best. So glad I found this dentist in a city with too many to count.  —- Kimberley H. on Google