Free Teeth Whitening Pen

Complimentary Teeth Whitening Pen with your next routine dental visit. Limited time offer!

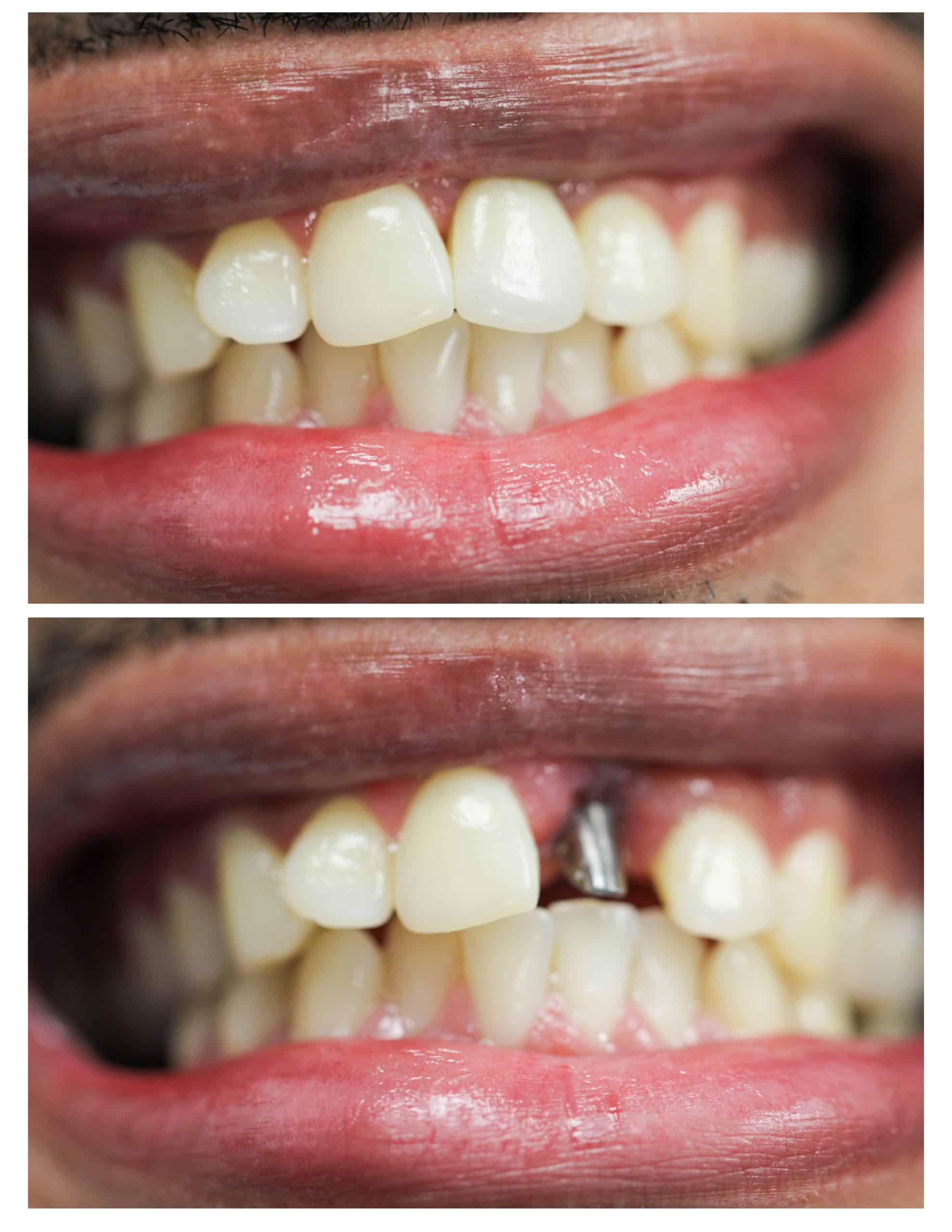
Dental Implants in NYC

Dental Implant crowns
Dental Implant crowns

Dental implants are the best way to replace missing teeth. They look and feel just like real teeth. The procedure is highly successful with greater than 95% success rate.

Are Dental Implants Painful?

The procedure is usually performed under local anesthesia and is completely pain free. Once the anesthesia wears off the patient may feel some soreness in the area.

Will My Dental Implant Look and Feel Natural?

Dental implants look and feel natural. No one should know that you have a dental implant except you and your dentist. You can chew food with dental implants just like with natural teeth.

How Long Does it Take to Get an Implant?

Once an implant is placed we usually wait 4-6 months before we place a dental crown on the implant.

This wait time is necessary to allow for a process called Osseointegration to take place. It simply means bone is slowly fusing into the dental implant providing greater support.

Usually, it takes between 4-6 months for an implant to be strong enough for patients to be able to chew with it effectively.

Dental Implant bridge
Dental Implant bridge

What’s the Risk of Going Without an Implant?

You may be chewing just fine without a molar. And no one can see that you’re missing a back tooth. But without a tooth, the other teeth find a way of shifting into that space.

Teeth are actually always growing. Without a tooth or a dental implant teeth will shift. It’s costly and time consuming to have to move teeth back to their original position with braces or Invisalign.

We recommend patients return 4-6 months after their extraction to be evaluated for implant placement.

Am I a Good Candidate for Implant Placement?

The biggest challenge for placing dental implants is the amount of dental bone needed to support the implant. By an amazing process called Osseointegration, the bone fuses to the implant.

Once the implant is strongly held in bone it can handle the very rough chewing forces that it’ll have to endure. A crown can be made at this time by a cosmetic dentist.

What if My Bone is Too Thin to Support a Dental Implant?

The good news is that we can grow bone via a process called bone grafting.  For a decade at Smile Arts of NY we’ve been working with the best specialist in bone grafting, dental implants and gum disease Dr. Scott Froum.

By using the most cutting edge techniques Dr. Scott Froum can painlessly perform grafting procedures in his midtown dental office.

Schedule Your Appointment Today

Dental Bridges vs. Dental Implants What's the difference?

Dental Implant vs. Bridge

The most important advantage of dental implants versus a bridge, is that we can preserve healthy teeth that can last a lifetime.   Before dental implants it was common for dentists to shave down two healthy teeth on either side of the missing tooth to make a bridge.  The problem arises years later when the bridge fails, usually due to recurrent cavities in the teeth under the bridge.  It’s  harder to clean a dental bridge well, which is why it’s common for teeth under the bridge to get cavities years later.  Then the entire bridge needs to be replaced, the teeth underneath may require root canals or extractions in which case the bridge may need to be expanded to include more teeth  for stability.

Our Patients' Reviews on Dental Implants

best dentist Manhattan  I first met Dr. Mann years ago when my friend referred me to him. I needed a dental implant at the time, needless to say I was terrified. I’ve had a lot of bad dentistry over the years but Dr. Mann gives the MOST painless injection ever. It’s been a couple of years my implant is still as solid as a rock.  I still see Dr. Mann every 6 months, he personally does my cleanings. He’s very calming, gentle, doesn’t rush, and explains procedures as he goes. I can tell he loves what he does. I actually now enjoy going to the dentist.  — Jamal W. on Yelp

best dentist Manhattan  Wonderful experience . Stuff is so helpful and nice . Doctor is knowledgeable, nice , fast and efficient .I had in the past very bad experiences but this one was one that made me not fear dentist anymore .I did extraction and couple of filings .. all was done with no pain and fast.  I am doing implants in the near future and I am sure that I will get great results and service.  —- Dina M. on Google

best dentist Manhattan Dr. Mann is awesome. He did my implants and they came out amazing. Everyone on the staff is nice and friendly and I love looking at the fishes. Will Recommend to anyone.   — Mike P. on Facebook

Videos of restoring dental implants

Dental implants replacing two missing molars

Patient was missing two molars.  The video below shows the steps from implants to having a wonderful implant bridge.

 

@drpetermann Restoring dental implants with an implant bridge to replace missing molars. #dentalimplants #implantcrowns #implantbridge #nycdentist ♬ original sound - dixie

Dental implant replacing failed root canal tooth

The video below shows our patient, who started with a failed root canal tooth that needed to be replaced by a dental implant.

Dental implant crowns replacing two teeth

In this case our patient had a failed bridge.  Two implants were placed with bone grafting.  The implants were restored with two separate porcelain implant crowns

@smile_arts_of_ny Replacing two missing teeth with beautiful dentsl implants. #dentalimplants #nycdentist #cosmeticdentistnyc @Swan Dental Lab ♬ Say So - Doja Cat

Dental implant crown and tooth crown placement

Patient was missing a molar and the crown behind it needed to be replaced.  The porcelain implant crown and tooth crown were made at the same time for a perfect match.