Maintaining the good health of your teeth is one of the best gifts you can give to your future self. Beyond childhood we only get one set (of real ones!) to see us through our entire lifetime, so we have to look after them. Dental cleaning is one way to give your pearly whites the attention they need and deserve. This is not just a good idea, it’s vital to your overall health.
Having a lovely white, straight and attractive smile is highly desirable in terms of esthetics, but more than that, healthy teeth, gums and maintaining the upkeep of your oral hygiene will enhance your life in a host of ways beyond simply looking dazzling (although, who doesn’t want that?). It should also be remembered that taking care of your teeth in the present can potentially save you thousands of dollars later on.
Does regular professional teeth cleaning improve dental health?
There are so many major dental problems that can be avoided with regular, preventative visits to the dentist, twice a year. Along with making sure you floss and clean diligently at home, a deep professional clean will contribute to your overall dental health by identifying problems that might be waiting in the wings – like gum disease, cavities, fractures or breaks in teeth, and broken fillings.
Staying on top of potential gum disease is hugely important as it can lead to serious issues like tooth loss and damaging gum recession, but your regular visit to the dentist can also pick up on more serious issues such as oral cancer, diabetes, and heart and respiratory diseases. When it comes to dental cleaning, NYC residents can confidently put their faith in Smile Arts – because we take an holistic approach to our patients’ overall health.
Is it worth getting your teeth cleaned at the dentist?
Yes. Even if you’re already very mindful of issues like gingivitis (gum inflammation), you brush and floss twice daily to so there’s no food particles stuck between your teeth, and you use a fluoride mouthwash regularly, you simply can’t carry out a “deep clean” (including below the gumline) like a professional can. The process involves thorough plaque and tartar removal using an instrument called a scaler, followed by treatment with a high-powered electric brush and special toothpaste, and professional flossing to dislodge any hard-to-reach debris and plaque.
In short, nothing you can do at home is equivalent to a professional dental cleaning. In NYC, Smile Arts of NY is your one-stop place to come for all your general and cosmetic dentistry – including a painless and stress free deep clean.
Does teeth cleaning remove yellow?
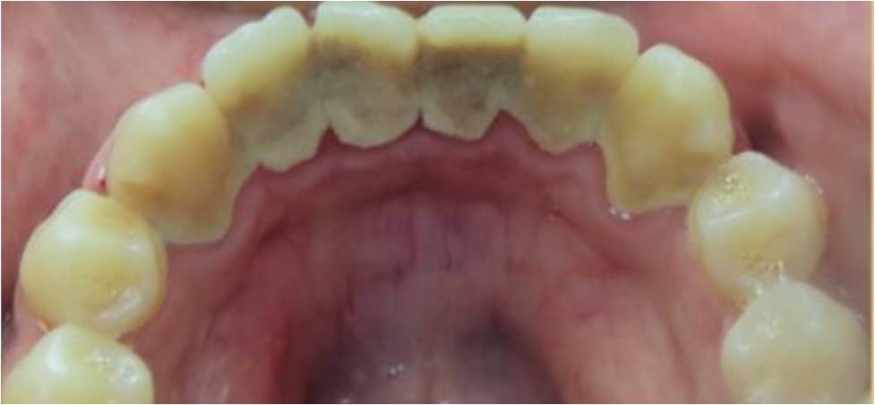
Your teeth will certainly look brighter and whiter after a deep clean, because tartar build-up takes on a yellowish hue. As the removal of plaque and tartar is a primary focus of the procedure, it will have an immediate positive effect on the overall look of your smile. However, if you’re looking for markedly whiter results you’ll need to book in for a whitening treatment in order to achieve them. Tooth whitening is one of the easiest and most popular cosmetic dentistry procedures we offer, and the results can be nothing short of dramatic.
Why do teeth feel loose after deep cleaning?
Your teeth may, indeed, feel a little looser after having a deep clean, but this is definitely nothing to worry about. When the build-up of plaque and tartar is removed from in between individual teeth, naturally there is a space where it has been accommodated – in some cases, a heavy buildup has been gathering over a long period of time. The feeling of looseness shouldn’t be seen as a problem, however, and while it might take a little getting used to, it’s actually a sign the procedure has been of benefit.
Do gums reattach after deep cleaning?
The short answer is yes. The longer answer is that it can, in some cases (depending on the amount of plaque and tartar buildup removed), take a little time. It shouldn’t be any longer than 4-6 weeks before your gums reattach to your teeth and return to their full reach.
What are the disadvantages of teeth cleaning?
As with any procedure, a deep cleaning does come with potential risks – although they are minimal and the pros of getting it done far outweigh the cons. Some risks that everyone should be aware of are:
- Infection
- Gum recession
- Sensitivity and/or pain
- Rarely, nerve damage
The most common of these is the feeling of sensitivity or pain during and after the procedure. Any discomfort is not usually long-lasting, however.
Why are dentists pushing deep cleaning?
Taking responsibility for your oral health is not just about making sure you brush and floss twice daily. It’s also about making the time and space for an annual check-up and dental cleaning. NYC has no shortage of professionals, so if you don’t already have a regular dentist, that’s your first task. Because no matter how well you take care of your oral hygiene, at home care simply isn’t enough.
Today, more than ever, healthcare professionals are acknowledging the link between good oral practices and their effect on a person’s overall health – this includes regular in-clinic dental cleaning. In NYC, while you certainly have a wide choice, we believe we offer a superior service – it’s why we’ve often been called the best dentists in New York!
How often should teeth cleaning be done?
A general rule-of-thumb is that you should schedule an appointment with your regular dentist every six months for a check-up and dental cleaning. In NYC, here at Smile Arts we’ve garnered a reputation for being both caring and highly professional. Visiting one of our experienced dentists just twice a year can save you the pain, stress and money of a dental emergency further down the line and give you the peace of mind that you’re investing in your future health.
To encourage patients to get their routine cleanings, Smile Arts of NY is offering Professional LED teeth whitening for just one dollar with your next routine exam and dental cleaning. We work with our partners at Kaboom.
How do I choose a dentist in NYC for Dental Cleaning?
Having a regular dentist – who you know and trust – will save you headaches in the future. Here at Smile Arts of NY, we go by the adage that “prevention is always better than a cure”, and scheduling in a regular six-monthly visit with us will not only ensure you receive a professional deep clean (which is not something you can achieve at home, no matter how diligent you are), but we’ll also be able to stay on top of any potential issues that might be brewing and treat them before they turn into a dental emergency. In addition, as you age, your dental and health needs will change and new challenges and problems may arise. Having a regular dentist who is familiar with your history affords you the confidence of knowing that they’ll be alert to issues that have the potential to cause you problems in the future.
Establishing a relationship of trust is everything, and we’ve been looking after the smiles and oral health of New York residents since 2010. Our services are affordable and efficient, and we’re passionate about providing the best care possible – whether it’s a routine visit, any of our popular cosmetic dental services, or a full-blown dental emergency.







